إنجاز طبي تاريخي في مستشفى الكرك الحكومي : إزالة ورم من رأس طفل بنجاح"

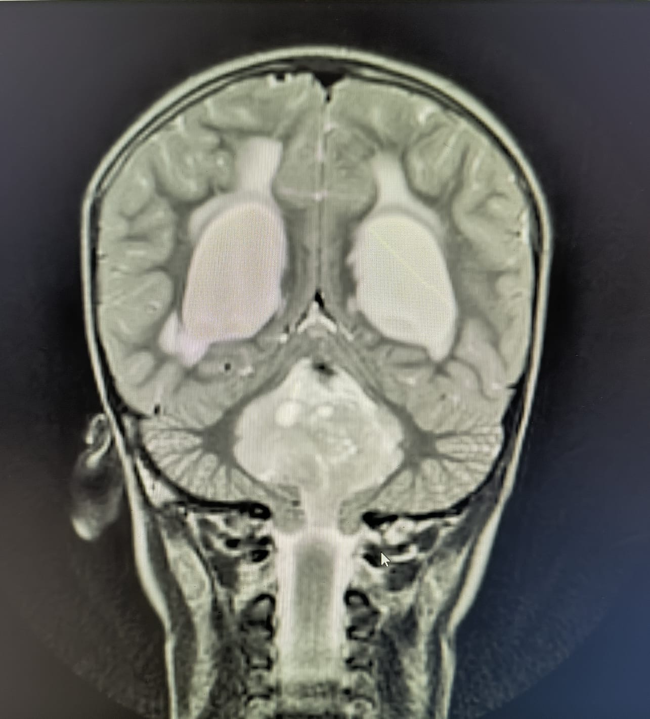
في سابقة هي الأولى من نوعها، تمكن فريق طبي متخصص في مستشفى الكرك الحكومي من إجراء عملية جراحية معقدة لإزالة ورم من رأس طفل. وقد تكللت العملية بنجاح، مما أدخل البهجة والسرور على قلب عائلة الطفل وكافة الكوادر الطبية في المستشفى.
وقاد العملية الاستشاري في جراحة قعر الجمجمة، الدكتور عامر العمري، بمساعدة فريق متكامل من الأطباء، الدكتور نضال أبو سدره والدكتور يوسف أبو نواس. استغرقت العملية نحو عشر ساعات، حيث تم استخدام تقنيات حديثة ودقيقة لضمان إزالة الورم بأمان ودون التأثير على الأنسجة المحيطة.
وعمل فريق التخدير الذي ضم الدكتور محمد عمير والدكتور حسام الطراونة، جنبًا إلى جنب مع فنيي التخدير بشار الليمون ومحمد خريشة، وفني مراقبة الاعصاب م. عبدالسلام الخطيب على توفير الرعاية اللازمة لضمان سلامة الطفل أثناء العملية. وقد ساهم أيضًا فريق التمريض بقيادة محمد الطراونه ومحمود الذنيبات ورئيسة قسم الحروق اخلاص حباشنه والكادر التمريضي، برعاية متكاملة قبل وخلال وبعد العملية، مما كان له دور كبير في ضمان راحة الطفل واستقرار حالته.
تأتي هذه العملية النوعية لتؤكد على التطور الكبير الذي يشهده القطاع الصحي في الأردن، وقدرة الكفاءات الطبية الأردنية على التعامل مع الحالات المرضية النادرة والمعقدة. كما تعكس هذه الإنجازات الجهود المستمرة التي تبذلها وزارة الصحة لتطوير البنية التحتية للمستشفيات وتزويدها بأحدث التقنيات والمعدات الطبية.
من الجدير بالذكر أن مستشفى الكرك الحكومي قد شهد في الآونة الأخيرة العديد من الإنجازات الطبية اللافتة، مما جعله صرحاً طبياً متميزاً يخدم أهالي محافظة الكرك والمناطق المجاورة.

















